PSORIASIS SYMPTOMS

One day you wake up and notice itchy, red marks along your hairline. Is it psoriasis, or is it another condition like eczema, lichen planus, or seborrhea?

To determine if you have psoriasis, it is important to talk to a dermatologist. Get to know your symptoms so you can be prepared to discuss them.

When did you first start experiencing psoriasis symptoms?

When did you first start experiencing psoriasis symptoms?

Thanks for answering!

Remember—psoriasis is a chronic condition, so it’s important to work with a dermatologist to understand your treatment options.
Take our symptom quiz to help start the conversation.

 

 

What Does Psoriasis Look Like?

Picture of Psoriasis on Skin Picture of Psoriasis on Skin Picture of Psoriasis on Skin

Raised, red, inflamed lesions

Psoriasis on Hands Psoriasis on Hands Psoriasis on Hands

Silvery, scaly plaques

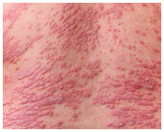
Psoriasis on Skin Psoriasis on Skin Psoriasis on Skin

Small, red, individual spots
(children and young adults)

Psoriasis on Elbow Psoriasis on Elbow Psoriasis on Elbow

Dry skin that may crack
and bleed

Psoriasis on an elbow Psoriasis on an elbow Psoriasis on an elbow

Itching, burning, or painful
skin

Psoriasis on an elbow Psoriasis on an elbow Psoriasis on an elbow
Psoriasis Nail Psoriasis Nail Psoriasis Nail

Pitted nails or separation
from nail bed

People graphic People graphic People graphic

FACT: Psoriasis can sometimes cause skin discoloration after it has healed in certain skin types. Ask your dermatologist to learn more.

Head, Shoulders, Knees, and…Nails?

Common areas affected by psoriasis include the scalp, elbows, knees, and torso. It can also appear on your face, hands, feet, skin folds, genitals, and even nails.

Psoriasis symptoms can appear almost anywhere, so talk to a dermatologist about where and how it’s affecting you.

Man for Scalp Psoriasis Advice Man for Scalp Psoriasis Advice Man for Scalp Psoriasis Advice

Scalp Psoriasis Tips You Can Use

Learn how to help manage a common area for psoriasis.

Get Scalp Psoriasis Tips

Psoriasis and Itching

Let’s set the record straight—itching caused by psoriasis can be challenging. For some, the constant intense itching associated with psoriasis, known as psoriasis itch, can be hard to manage.

Don’t be embarrassed to tell your dermatologist about your psoriasis itch. They may be able to prescribe a psoriasis treatment option that can put relief in sight, including oral antihistamines, phototherapy, steroids, or topical anesthetics.

Ladder symbolizing psoriasis triggers beneath the skin

DIG DEEPER: From shampoos to salves, there are many home remedies you can add to your current treatment plan that may help relieve itching. See some options here: Psoriasis Home Remedies

Illustration of a fire symbolizing a psoriasis flare-up Illustration of a fire symbolizing a psoriasis flare-up Illustration of a fire symbolizing a psoriasis flare-up

What Are Psoriasis Flare-Ups?

One feature of psoriasis is that it’s recurring, often seasonally. Other times, the appearance or reappearance of your psoriasis symptoms can be unpredictable, with patterns or triggers changing over time. When your symptoms suddenly reappear or worsen, these are called flare-ups.

You may not have to suffer every time one occurs. Working with your doctor can help you make lifestyle choices to better manage flare-ups.

Ready to talk to your dermatologist? Learn about your options: Psoriasis Treatments